

Clear, comfortable, and nearly invisible
Aligners fit into your daily life, unlike braces
At AQR Orthodontics, we believe every smile deserves an honest beginning. Dr. AQR, one of Dubai’s leading orthodontists, offers transparent, evidence-based consultations where you’ll explore all your options — the most advanced clear aligners as well as the basic ones — without hidden agendas or pressure. Using cutting-edge digital technology and personalized planning, we ensure you understand your treatment fully and choose what’s right for you. Whether your case is simple or complex, our goal is to give you clarity, comfort, and confidence from day one.

Answer a few quick questions to see if you qualify. No pressure, no hard sells.

If you’re a good match, you’ll be immediately directed to schedule your free consultation.

Choose a convenient time for one of our experts to assess your conditions.

Book your quick, painless 3D scan and begin your path to a confident new smile.






Answer a few quick questions to see if clear aligners could work for you.
Receive an instant indication of your suitability.
Preview your expected treatment time, monthly instalments, and smile transformation.
Book your quick, painless 3D scan and begin your path to a confident new smile.
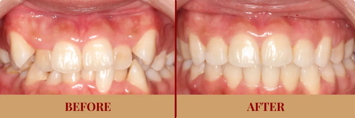
Looking for invisible teeth alignment? Our expert orthodontist Dr. AQR in Dubai is here to help! Whether you need an honest opinion or you’re ready for a customized treatment plan with Invisalign/Spark Aligners, we ensure a comfortable and seamless experience.

Our advanced clear aligners are designed to blend perfectly with your natural teeth, making them practically invisible in everyday life. You can speak, smile, and work with total confidence while your teeth gently move into place. With flexible monthly payment plans, achieving your dream smile has never been easier or more discreet. Start now and enjoy a seamless journey to a perfectly aligned smile without compromising your appearance or lifestyle.
1. Practically invisible – Our advanced clear aligners blend seamlessly with your natural teeth, so you can smile, speak, and work with total confidence.
2. Comfortable, discreet treatment – Gently move your teeth into place without compromising your appearance or lifestyle.
3. Affordable plans – Prices start from 999 AED/month with easy monthly installments for a stress-free smile journey.




Clear aligners are virtually invisible, removable trays that straighten your teeth without metal brackets or wires. They’re discreet, comfortable, and ideal for working professionals who don’t want their treatment to affect their appearance.
From mild to complex, clear aligners can be used to treat all kinds of alignment issues. The quickest way to find out is to take our short AQR Smile Assessment Quiz, which tells you if you’re a good candidate in under a minute.
Costs depend on the complexity of your case, but we offer flexible monthly payment plans to make treatment accessible without compromising quality. You’ll get a full cost breakdown after your initial assessment.
Not at all. Aligners are designed to be discreet, so you can wear them during meetings, presentations, and social events without anyone noticing. You can also remove them for short periods when eating or drinking.